Praxis Dr. Tschürtz
- Frauenärzte
- Pränatalmedizin
- Medizinische Genetik

Genetische Beratung und Diagnostik
Eine genetische Beratung erfolgt bei Sorge oder einem Verdacht auf ein erhöhtes Risiko für eine erblich bedingte Erkrankung – entweder bei familiärer Belastung oder nach Auffälligkeiten im Rahmen der Schwangerenbetreuung.
Wir erheben die persönliche und familiäre Vorgeschichte (Stammbaum) und informieren über die jeweils in Frage kommenden Krankheiten, ihre Folgen und das Wiederholungsrisiko.
Bei Problemfällen verweisen wir für eine erweiterte genetische Beratung auf ein Zentrum für Humangenetik – dort werden auch alle genetischen Untersuchungen durchgeführt.

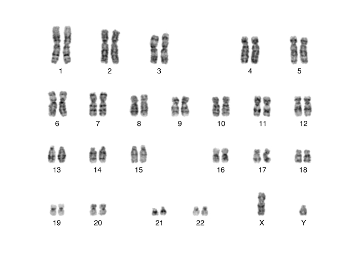
Karyogramm – geordnete Darstellung aller Chromosomen – Beurteilung der Anzahl und groben Struktur. Chromosomen sind die Träger unserer Erbinformation.